|
MRI: Magnetic Resonance Imaging
|
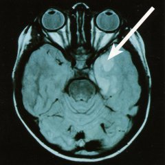
The MRT image shows a benign brain tumour which stands out in a lighter colour against the healthy tissue (see arrow). Such tumours can cause epileptic seizures. Most patients become seizure free after the tumour has been removed. |
|
|
||
|
German Epilepsy Museum Kork |
||